查看: 2777|回复: 0

[养猪经理人] 必修课 | 猪用B超在生产中的应用

[复制链接]
发表于 2017-10-25 09:29:56 | 显示全部楼层 |阅读模式

作者:施增斌
转自:养猪职业经理人
微信ID:YZZYJLR2016


一、B超使用的原理及实体图

B
超原理:

  兽用怀孕探测仪是利用换能器(探头),经压电效应,发射出高频超声波透入机体组织产生回声,回声又能被换能器接收,变成高频电信号后传送给主机,经放大处理于荧光屏上显现出被探查部位的切面声像图的一种高科技影像诊断技术。

B
超成像原理

  1.黑色:主要是液体,包括:血液、羊水、组织间隙液体、炎症病灶等;

  2.白色:主要指密度较高的物体,包括:骨胳、结石等;

  3.灰色:主要指实质性组织,包括:肌肉、脏器等。

探头检测的位置:

  由于猪是双孕角,所以左右均可以进行检测。具体位置在母猪腹部和后腿连接的三角区,最后两对乳头中间。

  如果一侧检测到有胚胎的话,就不用再检测另一边了;如果没有检测到胚胎,需左右两边都得检测,避免单侧怀孕。

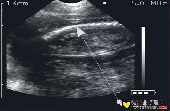
1.jpg

膀胱及卵巢检测图

2.jpg

未怀孕检测图

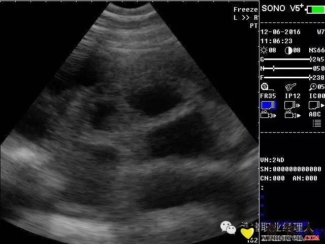
3.jpg

21天检测怀孕图

4.jpg

22天怀孕检测图

5.jpg

24天怀孕检测图

6.jpg

29天怀孕检测图

7.jpg

33天怀孕检测图

8.jpg

45天怀孕检测图

9.jpg

46天怀孕检测图

10.jpg

90天怀孕检测图

11.jpg

12.jpg

100天怀孕检测图

13.jpg

二.B超的使用范围

1、第一时间检测出是否怀孕(第一个发情期之后,一般在24-29天)

  应该讲在这个阶段检测出有无怀孕,对于养殖场来说是最省钱的,如果空怀可以及时再配,从而大大缩短了无效饲养的时间。

2. 配种后30天左右可估测胚胎数

  
作为规模化养殖场来讲,这是一个必须重视的指标。早期估测出来胚胎个数,有利于妊娠母猪日粮中营养配方以及饲喂量的调整。当胚胎个数较多而营养和日粮跟不上时,容易造成流产或弱胎;而当胚胎个数较少而营养和日粮过剩时,容易造成胚胎个体发育过大,引起难产。

3.  两次、三次配不上的母猪,可检出是否有子宫炎、卵巢囊肿等繁殖障碍疾病。

  卵巢囊肿:又称猪的不孕症,是目前困扰养殖场的严重问题之一,其主要症状就是屡配不孕,母猪发情症状明显,发情时间较有规律,但就是配不上。

4. 中期可检出有无胚胎吸收。

  主要症状:配种后不再有发情表现,两个月左右肚子有点大,到了产期有点下奶,但过了产期也无产仔的表现.

职业经理人.jpg

感谢作者对此文的付出,畜牧人网站已获授权转载,若需转载的朋友,请联系作者!

中国畜牧人网站微信公众号
版权声明:本文内容来源互联网,仅供畜牧人网友学习,文章及图片版权归原作者所有,如果有侵犯到您的权利,请及时联系我们删除(010-82893169-805)。
您需要登录后才可以回帖 登录 | 注册

本版积分规则

发布主题 快速回复 返回列表 联系我们

关于社区|广告合作|联系我们|帮助中心|小黑屋|手机版| 京公网安备 11010802025824号

北京宏牧伟业网络科技有限公司 版权所有(京ICP备11016518号-1

Powered by Discuz! X3.5  © 2001-2021 Comsenz Inc. GMT+8, 2025-12-7 16:34, 技术支持:温州诸葛云网络科技有限公司